SBIANCAMENTO DENTALE




SBIANCAMENTO: ELIMINARE LE MACCHIE SUI DENTI OGGI SI PUO’


Il sorriso è l’accessorio più bello che sta bene su tutto ed apre un mondo di possibilità. Quando pensiamo ad un sorriso ci immaginiamo una bella bocca con denti bianchi e sani. Però la realtà delle cose è quasi sempre distante dall’immaginazione. Ecco che i denti difficilmente sono bianchi e perfetti. Al di là della dentatura, sono il colore e le macchie ai denti a causare disagi e
limitare i sorrisi.
Per questo, se abbiamo i denti macchiati possiamo sentirci in difetto e possiamo adottare nuovi modi di parlare e sorridere.
Ma le macchie sui denti si possono rimuovere e si può tornare a sorridere. Quel che è necessario è sicuramente prendersi più cura dei propri denti, a partire dall’igiene orale, la quale è strettamente correlata alle abitudini alimentari. Cibo, lavaggi ed abitudini in generale sono i fattori principali che esercitano un’influenza sul colore dei denti.
Quali sono le cause delle macchie sui denti
Alcuni cibi ed abitudini sbagliate, il fumo in primis, possono compromettere i denti; ma anche il consumo eccessivo di caffè, thè e vino rosso sono complici dell’alterazione del colore dei denti.
Da non dimenticare poi la già citata igiene orale. Se non si lavano quotidianamente i denti, vi si accumulano placca e tartaro, e queste sostanze sono visibili ad occhio nudo.
Quali sono i rimedi professionali per sbiancare i denti: il rimedio numero 1 è la comune igiene completa da fare almeno due volte all’anno dal dentista. In aggiunta a questa, chi non è soddisfatto del colore dei propri denti può sottoporsi ad un trattamento di sbiancamento dentale. Attraverso l’applicazione di un gel sbiancante e l’azione di una lampada ad hoc, è possibile migliorare il proprio colore naturale.

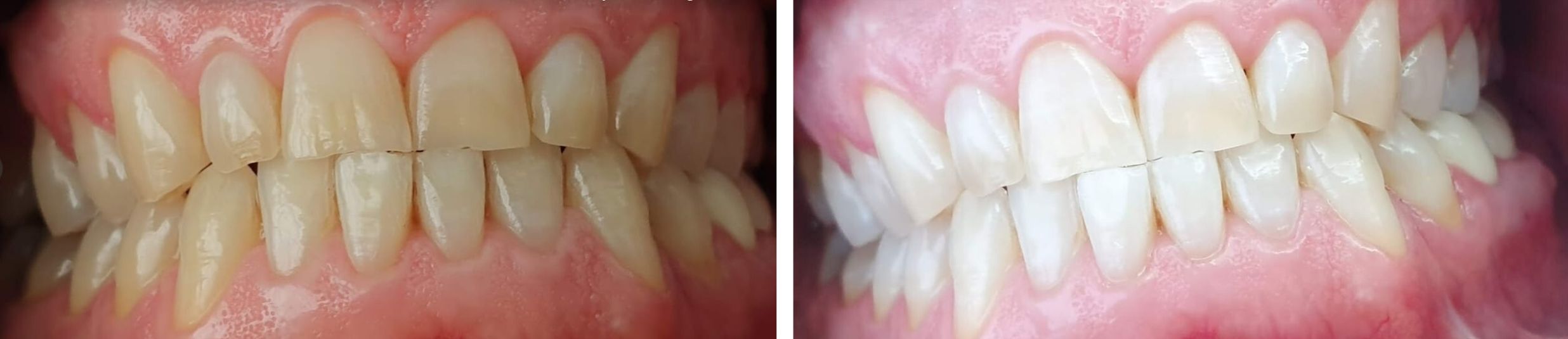
SBIANCAMENTO: PRIMA E DOPO

confronto prima e dopo sbiancamento

In alternativa, un’altra soluzione sono le faccette dentali, anche chiamate faccette estetiche. Si tratta di involucri in porcellana che vengono messi sopra ai denti, cioè sulla loro superficie esterna.
Sono chiamate faccette estetiche perché consentono di migliorare l’aspetto estetico della bocca. Infatti, non solo permettono di mascherare il colore dei denti, ma anche la loro forma o posizione.


LO SBIANCAMENTO DENTALE

Lo sbiancamento dentale è una procedura che permette di migliorare il colore dei denti, rendendoli più bianchi. I prodotti che vengono utilizzati a tal fine contengono principalmente perossido di idrogeno, impiegati in varie concentrazioni a seconda della tecnica che si intende utilizzare e delle esigenze del paziente.
Lo sbiancamento funziona grazie alla liberazione di ossigeno che va a disgregare le molecole dei pigmenti responsabili della discromia, e dunque rendendole non più visibili.

DIGA DENTALE PER PROTEGGERE LE GENGIVE

diga dentale


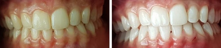
PRIMA E DOPO LO SBIANCAMENTO

denti a confronto dopo trattamento sbiancamento dentale

Con lo sbiancamento si possono sbiancare sia i denti vitali che i denti
devitalizzati.
• Sbiancamento di denti vitali: la tecnica che si esegue in ambulatorio prevede l’applicazione sui denti di perossido di idrogeno ad alta concentrazione (circa 40%) da ripetere massimo due volte a distanza di tre settimane. Questa tecnica è associata all’uso di lampade a luce led
che va a potenziare l’azione del gel.
• Sbiancamento di denti devitalizzati: in questo caso è necessario riaccedere alla camera pulpare del dente, in quanto il gel sbiancante va posizionato all’interno del dente stesso.

Per la Tecnica domiciliare si usano due mascherine trasparenti cariche di gel a bassa concentrazione di perossido di idrogeno (6%) che il paziente dovrà portare per 9 ore, solo alcuni giorni, in base alla gravità della
pigmentazione.


TELEFONO STUDIO DENTISTICO

Chiama il nr. 0934 466331


PRENOTA APPUNTAMENTO


NESSUN FASTIDIO


EFFETTI DURATURI


ELIMINA LE MACCHIE






CONTATTI


Dr. Calogero Lanza
Viale della Repubblica, 27-29
94012 Barrafranca (EN)
P. IVA: 00624270864
Iscriz. Albo Med. e Odont. nr. 50

e-mail: lanzacalogero@gmail.com
PEC: calogero.lanza.vaqo@en.omceo.it



STUDIO DENTISTICO

Telefono: 0934-466331


TELEFONO PER EMERGENZE

Cellulare: 338-9265932



PAGAMENTI PERSONALIZZATI

Possibilità di rateizzazione dei trattamenti odontoiatrici



SEGUICI SUI SOCIAL



Proprietario e responsabile del sito: Dr. Calogero Lanza, Viale della Repubblica, 27 – Barrafranca (EN).

Sito web realizzato da Forse Cercavi

Chatta con noi
Salve,
come possiamo aiutarla?