La Protesi è quella branca dell’odontoiatria che ci consente di ripristinare i denti persi nel tempo con una soluzione simile per estetica e confort alla dentatura naturale.
La protesi consente al paziente di risolvere deficit funzionali, estetici e fonatori.


Si possono distinguere diverse tipologie di protesi dentali:
La protesi fissa sostituisce gli elementi dentari persi con manufatti definitivi e stabili. Si tratta di faccette, corone (sostituti artificiali di un solo dente) e ponti (sostituiti di più elementi dentari) cementati a pilastri di sostegno naturali e perciò non rimovibili dal paziente.
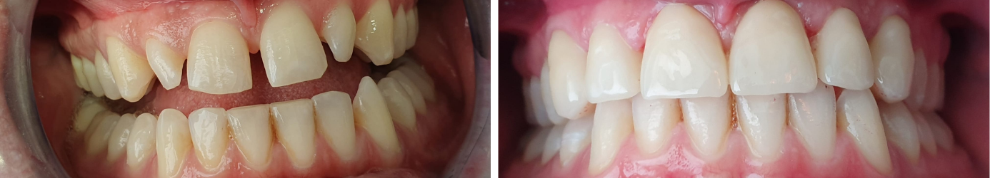
RIABILITAZIONE PROTESICA PRIMA E DOPO


La protesi mobile, è volta a sostituire una parte o l’intera arcata dentaria, e può essere rimossa dal paziente, allo scopo di eseguire le ordinarie manovre di igiene quotidiana.
La protesi mobile può essere:
– parziale: ancorata per mezzo di ganci o attacchi ai denti naturali residui ed è solitamente formata da una struttura metallica da cui prende il nome di scheletrato. La presenza di ganci o attacchi consente di ottenere un miglior livello di stabilità sia funzionale sia masticatoria.

PROTESI CON ATTACCHI – PRIMA E DOPO

– totale: in mancanza di denti residui, la protesi totale in resina sostituisce una o entrambe le arcate dentarie poggiando unicamente sulle mucose e sull’osso del paziente. Nonostante la stabilità della protesi sia compromessa dal graduale riassorbimento osseo (tale da richiedere regolari “ribasature” da parte del dentista) e l’efficacia masticatoria sia ridotta rispetto ad altre soluzioni protesiche, la protesi totale rappresenta a tutt’oggi una soluzione più economica per ripristinare le funzioni orali del paziente.
La protesi combinata ripristina l’efficacia dell’arcata dentaria mediante il supporto di denti o impianti in titanio osteointegrati. La protesi è rimovibile ma fissata e resa stabile da dispositivi di ancoraggio che ne assicurano una maggiore funzionalita’ a lungo termine.
Questo tipo di dispositivo, fissandosi ad alcuni elementi, offre il vantaggio di non scaricare la propria forza masticatoria sui denti residui, minandone progressivamente la salute e la stabilità.
La tecnica implantologica prevede la sostituzione di singoli elementi dentali o intere arcate dentarie mediante l’inserimento chirurgico di fixture in titanio ai quali i denti vengono ancorati in modo definitivo. L’utilizzo di sostegni artificiali integrati nell’osso consente di preservare la salute dei denti ancora presenti e garantire una completa stabilità. L’implantologia rappresenta oggi la migliore soluzione per una riabilitazione funzionale ed estetica della masticazione. Oggi con l’implantologia computer guidata si evita di tagliare la gengiva e di dare i punti di sutura per cui gli impianti possono essere inseriti in maniera più predicibile, mininvasiva e senza causare traumi o fastidi al paziente.
L’applicazione di faccette in porcellana sui denti naturali anteriori, è la tecnica che permette di correggerne gli inestetismi causati da fratture, anomalie di forma e dimensione, difetti di posizione (ad esempio un eccessivo spazio fra i denti) o alterazioni di colore.
Le faccette sono costituite da un sottile strato di porcellana incollato sulla “faccia” o superficie visibile del dente: si tratta di un intervento minimamente invasivo in grado di offrire un risultato estetico eccellente, duraturo e stabile nel tempo.
FACCETTE DENTALI – PRIMA E DOPO

Tutte le riabilitazioni protesiche prevedono l’utilizzo dei materiali più innovativi, a garanzia di un trattamento funzionale ed estetico di elevata qualità.
L’ausilio dello zirconio (bianco, bio-compatibile e di eccezionale resistenza) e della ceramica integrale (ceramica speciale dotata di una trasparenza naturale) consentono di aumentare la traslucenza dei manufatti protesici raggiungendo risultati estetici di assoluta naturalezza.
Gli intarsi in ceramica o composito (di colore corrispondente al dente ove si applicano) permettono a loro volta di sostituire anche le obsolete otturazioni in amalgama offrendo garanzie di bio-compatibilità e un’ottima resa estetica.
La ricerca di alti standard qualitativi permette a ciascun paziente di ottenere una riabilitazione protesica efficace e personalizzata e il conseguente recupero di una normale vita di relazione e professionale.
Proprietario e responsabile del sito: Dr. Calogero Lanza, Viale della Repubblica, 27 – Barrafranca (EN).
Sito web realizzato da Forse Cercavi