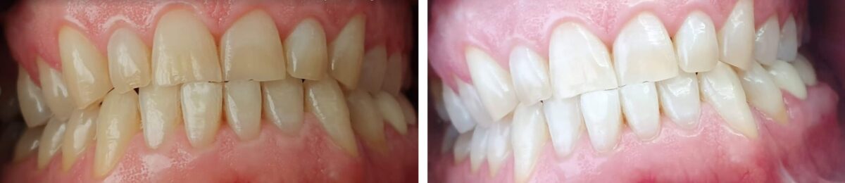
Oggi grazie al gel al perossido di idrogeno e alla lampada al plasma è possibile ottenere dei denti più bianchi e brillanti ma mantenendo sempre un aspetto naturale. Lo sbiancamento viene eseguito in una sola seduta ,in studio,sotto la supervisione dell’odontoiatria e con una diga speciale che permette di proteggere la gengiva per tutto il tempo del trattamento. La lampada al plasma potenzia l’azione del gel ottenendo un risultato incredibile.In una sola seduta sorriso smagliante e rigenerato!

